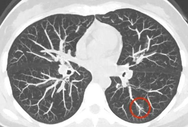
苏州看肺结节的医生科普:肺部结节是一种肉芽肿性疾病,引起肺部结节的因素有很多种,比如长期吸烟、肺部感染、局部出血、外伤、接触有害物质等都能引起肺部结节。那么肺结核过后会引起肺部结节吗? 患有肺结核是可以导致肺结节的,肺结节是慢性疾病,就是由结核分枝杆菌感染肺部所引起来的一种... [详情]
时间:2025-05-20
浏览(689)
苏州看肾脏结节的医生提醒:肾脏是人体最重要的器官之一,被称为人体的清洁工,是我们所需要保护的重中之重。肾脏如果受到伤害对人体有直接的影响,那么生活中有哪些坏习惯会伤害肾脏呢?吃什么对肾脏好呢? 长期的生活坏习惯,如果长期熬夜、吸烟酗酒,可能会导致肾脏负担加重,从而诱发该疾病。通... [详情]
时间:2025-05-17
浏览(921)
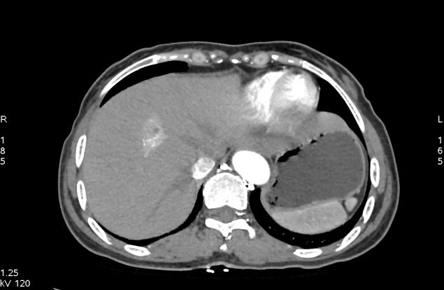
苏州看肝脏结节好的医生提醒:在体检当中,发现肝脏有结节的时候很多朋友非常担心,肝脏的结节是不是正常?多大是正常?肝脏结节多大是正常范围,最主要的是判断结节的性质,是良性结节,还是恶性结节。首先发现肝脏有结节的现象,一定不可大意,如果结节在直径5cm以下,且边缘清晰,未见流血信号,... [详情]
时间:2025-05-17
浏览(981)
苏州看肾脏结节的医生提醒:肾脏是人体一个重要的器官,保护肾脏对于维持整体健康至关重要。保护肾脏、减少肾脏结节的发生平时可以这样做。 控制血压和血糖,高血压会损害肾脏的血管,增加肾脏疾病的风险。定期测量血压,遵循医生的建议进行治疗,以控制血压在正常范围内。而糖尿病患者容易出现... [详情]
时间:2025-05-15
浏览(966)
苏州治疗肝脏结节的医生提醒:肝脏结节是影像学的描述,是指在影像学上发现了结节性肿块。有可能是良性疾病,也有可能是恶性病变。要正确看待肝脏结节要从这几个方面入手: 认识结节的性质,良性的结节常见的有肝囊肿、肝血管瘤等,一般良性小的囊肿没有明显的症状,定期复查就可以。恶性的结节一般... [详情]
时间:2025-05-12
浏览(910)
苏州治疗肝脏结节的医生提醒:肝脏结节的形成是由于各种因素导致的肝脏纤维组织增生而引起的,是肝细胞病变的结果。需要引起患者注意的是有的时候肝癌也是以肝脏结节为症状出现的。生活中肝脏结节常见的问题有这几个。 肝脏结节是怎么引起的?肝脏结节只是一种表现,背后是有疾病的,想要知道肝... [详情]
时间:2025-05-02
浏览(1053)
苏州看肝脏结节的医生讲堂:肝脏是沉默的器官,当出现肝病以后,症状是很不明显的。肝脏结节是很多人在体检过程中发现的病变,许多人认为肝脏结节和肝癌关系密切,因此非常的害怕。那么在生活中患者对肝脏结节常见的误区有哪些? 肝脏结节一定会引起症状,很多肝脏结节是没有症状的,尤其是在早... [详情]
时间:2025-05-01
浏览(1030)
苏州治疗肝脏结节的医生提醒:肝脏结石是在肝脏内部形成的异常组织团块,可能是良性的或者恶性的。如果要确定肝脏结节的性质,需要具体要进一步检查确认。 肝脏结节的病发一般与慢性肝病、代谢因素、毒素药物以及遗传倾向有关。一般的检查手段可以通过超声、增强CT、超声造影甚至穿刺等明确结... [详情]
时间:2025-04-24
浏览(991)
苏州治疗肝脏结节的医生提醒:肝脏疾病是比较常见的一种病情,其中肝脏结节就是最普遍的一种。出现肝脏结节,可能是因为出现肝硬化、肝炎等疾病因素,也可能是因为环境、药物等因素。那么,生活中要注意什么,才能避免肝脏结节继续恶化呢? 一般肝结节患者,会出现恶心乏力,以及肝区疼痛或呼吸... [详情]
时间:2025-04-17
浏览(578)
苏州看肝脏疾病好的专科医院科普:肝脏疾病的患者近年来越来越多,比如肝结节、肝硬化等一些肝脏疾病。有很多轻的病症,其实是可以通过日常护理以及良好的生活习惯等来治愈的。而且生活中多呵护肝脏健康,保持良好的心态,对我们的身体健康也是很有必要的。 首先要控制饮酒,当酒精进入到人体当... [详情]
时间:2025-04-16
浏览(728) 苏州国医堂系"国医堂中医药研究院"附属中医连锁机构,荟萃京、沪、苏知名老中医,纯中医治疗,打造以"宏扬国粹,服务众生"为宗旨的健康服务平台。 苏州国医堂现设有:名老中医切脉诊病、亚健康中医体检及调理、太极诊病、五行养生、五运六气体质辨识及选方用药指导、针灸推拿、膏方定制、中药代煎等服务。
固话:0512-62963999
公交:乘坐2路;4路;38路;64路;400路东线;400路西线;622路;662路;665路;665路支线;快线1号;夜3路至【新华路站】 地铁:乘坐地铁1号线至【金枫路站】4号出口往西350米过红绿灯到





